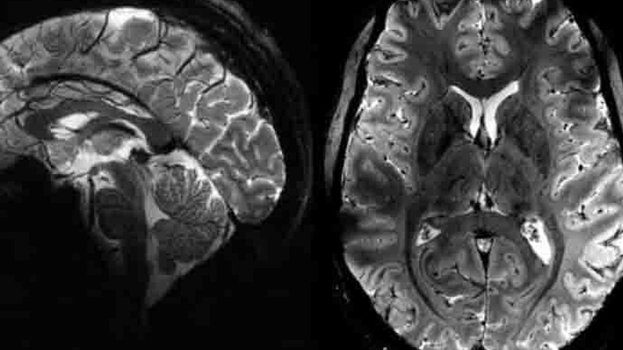
Dünyanın en güçlü manyetik rezonans görüntüleme (MRI) cihazıyla elde edilen, insan beyninin en net görüntüsünü yayınladı.
Fransa Atom Enerjisi ve Alternatif Enerjiler Kurumu CEA'dan yapılan yazılı açıklamada "Iseult" adlı MRI cihazıyla çekilen beyin görüntüsünün 20 yıldan uzun süren bir çalışma sonucu elde edildiği belirtildi. Yapılan çalışmalar kapsamında MRI cihazının son birkaç ay içerisinde yaklaşık 20 sağlıklı gönüllü üzerinde test edildiği kaydedilen açıklamada, neredeyse 4 dakikada en net beyin görüntüsünün elde edildiği aktarıldı. Açıklamada, 11,7 Tesla manyetik güce sahip Iseult MRI makinesiyle kısa sürede çekilen görüntülerin, hastanelerde yaygın kullanılan cihazlarla elde edilmesinin saatler sürebileceği kaydedildi. Iseult Projesi Başkanı ve CEA Araştırma Direktörü Nicolas Boulant, yaptığı açıklamada, verilerin daha yüksek kalitede elde edilebilmesi için araştırmanın birkaç yıl daha devam edeceğini belirterek, hedeflerinin 2026-2030’a kadar nörodejeneratif hastalıkların yanı sıra şizofreni ve bipolar bozukluğu gibi psikiyatri alanındaki birçok hastalığı araştırmak olduğunu ifade etti. Iseult MRI cihazı ile elde edilen ultra detaylı anatomik bilgilerin, Alzaymır ve Parkinson gibi hastalıkların teşhisinde yardımcı olması bekleniyor. https://tele1.com.tr/insan-beyni-hakkinda-yeni-bulgular-bulundu-551281/
Kaynak: AA





