Bilim ve teknoloji, her geçen yıl daha da hızlanan bir devrim sürecinden geçiyor. 2024'te de bir çok yeni gelişme ve ilerlemeler kaydedildi. 2024 yılı, teknolojinin de insan hayatında çeşitli yönlerden geleceği şekillendirdiği bir yıl olarak hafızalara kazındı. Bu gelişmeler, sadece bugünü değil, yarını da inşa ediyor.  İşte bilim ve teknoloji alanında yıl boyunca yaşananlar...

TÜRKİYE'NİN UZAY YOLCULUĞU

2024 yılının ilk gelişmelerinden biri Türkiye'nin ilk astronotu Alper Gezeravcı'nın uzay yolculuğu oldu. Gezeravcı'nın da yer aldığı Ax-3 ekibini taşıyan Dragon kapsülü, ABD yerel saatiyle 18 Ocak 16.49'da (19 Ocak TSİ 00.49) NASA'nın Florida'daki Kennedy Uzay Merkezi'nden fırlatıldı. Uzay yolculuğu esnasında 13 farklı bilimsel deney üzerinde çalışan Gezeravcı, yolculuğu başarıyla tamamlayıp 9 Şubat'ta Dünya'ya geri döndü.

YAPAY ZEKANIN YÜKSELİŞİ

Yapay zeka, 2024’te teknolojinin en ön plana çıkan alanlarından biri oldu. Özellikle generatif yapay zeka uygulamaları, metin, görsel ve video içerik üretiminde yeni standartlar belirledi. Eğitimden sağlığa, yaratıcı sektörlerden finansal hizmetlere kadar çeşitli alanlarda yapay zekanın kullanımı artarken, etik ve gizlilik tartışmaları da yeniden gündeme geldi. Aynı zamanda, şirketlerin verimliliğini artıran yapay zekâ destekli iş akışı otomasyonları yaygınlaştı. Mayıs 2024’te OpenAI tarafından piyasaya sürülen GPT-4o, hem metin hem de görselleri analiz etme ve üretme yeteneğini ileri taşıdı.

BEYİN ÇİPİ YERLEŞTİRİLEN İLK İNSAN

Amerikan nöroteknoloji şirketi Neuralink'in kurucusu Elon Musk, şubatta beynine Neuralink tarafından üretilen "Telepati" adlı çip yerleştirilen kişinin düşünce yoluyla bilgisayar faresini kontrol edebildiğini açıkladı. Neuralink, daha sonra martta, beyin çipi yerleştirdikleri kişinin düşünce yoluyla satranç oynadığını duyurdu. Yaklaşık 8 yıl önce geçirdiği kazada felç kalan Noland Arbaugh'un satranç oynadığı anlar canlı yayında paylaşıldı.

İNSANA İLK KEZ GENETİĞİ DEĞİŞTİRİLMİŞ DOMUZ BÖBREĞİ NAKLEDİLDİ

Sağlık alanında mart ayında kayıtlara geçen bir diğer gelişme de ABD'nin Boston kentinde doktorların, ilk defa bir hastaya genetiği değiştirilmiş domuz böbreği nakletmesi oldu. Domuz böbreğinin nakledildiği 62 yaşındaki Richard Slayman'ın başta durumunun iyiye gittiği ve yakın zamanda taburcu edileceği açıklansa da hasta, mayısta hayatını kaybetti.

KUANTUM BİLİŞİM

Kuantum bilişim teknolojisi, 2024 yılında hem teorik hem de pratik açıdan önemli ilerlemelere sahne oldu. İşte öne çıkan başlıklar:

-Kuantum İşlemci Kapasitesi Arttı: IBM, Google ve Çinli teknoloji firmaları, 1000 qubit sınırını aşan işlemciler geliştirdi. Bu, kuantum bilgisayarların daha karmaşık hesaplamaları çözebileceği anlamına geliyor.

-Kuantum Bulut Hizmetleri Genişledi: Kuantum bilgisayarlara erişim artık daha kolay. Amazon, Microsoft ve Google gibi şirketler, kuantum bulut hizmetlerini genişleterek bu teknolojiye giriş için daha fazla fırsat sundu.

-Enerji ve İlaç Sektörlerinde Atılımlar: Kuantum bilgisayarlar, enerji optimizasyonu ve ilaç geliştirme alanlarında devrim yarattı. Özellikle protein katlanması ve malzeme simülasyonlarında üstünlük sağlandı.

-Kuantum Güvenlik Sistemleri: Kuantum şifreleme, veri güvenliğinde yeni standartlar oluşturdu. Bankalar ve hükümetler, bu sistemleri kritik altyapılara entegre etmeye başladı.

-Kuantum Algoritmalarında İlerleme: Araştırmacılar, yapay zeka ve büyük veri uygulamaları için daha verimli kuantum algoritmaları geliştirdi. Bu, kuantum bilgisayarların gerçek dünya problemlerine uygulanabilirliğini artırdı.

2024, kuantum bilgisayarların yalnızca laboratuvarlarda değil, gerçek dünyada da etkilerini göstermeye başladığı bir dönemin başlangıcı oldu.

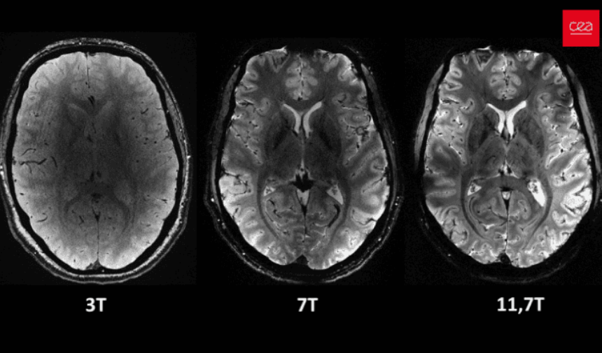
İNSAN BEYNİNİN EN NET GÖRÜNTÜSÜ

Fransa Atom Enerjisi ve Alternatif Enerjiler Kurumu (CEA), insan beyninin dünyanın en güçlü manyetik rezonans görüntüleme (MRI) cihazıyla elde edilen en net görüntüsünü yayımladı. Nisan ayına damga vuran bu gelişme, 20 yıldan uzun süren çalışma sonucu elde edildi. MRI cihazı, son birkaç ayda yaklaşık 20 sağlıklı gönüllü üzerinde test edildi ve neredeyse 4 dakikada beynin en net görüntüsüne ulaşıldı.

İLK YERLİ UYDU FIRLATILDI

Türkiye'nin ilk yerli ve milli haberleşme uydusu Türksat 6A, 9 Temmuz'da ABD'nin Florida eyaletinde bulunan Cape Canaveral'daki fırlatma merkezinden, SpaceX firmasının Falcon 9 roketiyle uzaya fırlatıldı.

MARS'TA ESKİ YAŞAM BELİRTİLERİ BULUNDU

ABD Havacılık ve Uzay Ajansının (NASA) Perseverance keşif aracı, Mars'ta, milyarlarca yıl önce mikrobik yaşama ev sahipliği yapmış olabileceğine dair işaretler taşıyan bir kaya tespit etti. Bilim insanları tarafından Büyük Kanyon'daki bir şelaleden esinlenerek "Cheyava Şelalesi" (Cheyava Falls) adı verilen, ok ucu şeklindeki kaya, Mars'ın geçmişte mikroskobik yaşama ev sahipliği yapıp yapmadığına dair ipuçları olabilecek ilginç özellikler içeriyor.

Analizler, 1 metre boyunda 60 santimetre enindeki kayanın eski yaşam tanımına uyan izler taşıdığını gösterdi. Kayanın, gezgin tarafından keşfedilen alanda milyarlarca yıl önce akan su bulunduğunu gösterdiği ve muhtemelen yaşam formları tarafından oluşturulan kimyasal izler ve yapılar sergilediği tespit edildi.

Perseverance ekibinden Avustralya'daki Queensland Üniversitesi'nden astrobiyolog David Flannery, "Dünyada kayalardaki bu tür özellikler genellikle yeraltında yaşayan mikropların fosilleşmiş kalıntılarıyla ilişkilendirilir." dedi.

TARİHTEKİ İLK ÖZEL UZAY YÜRÜYÜŞÜ

SpaceX'in Polaris Dawn misyonu kapsamında, ABD'li milyarder iş insanı Jared Isaacman'ın yanı sıra misyon ekibinden Sarah Gillis, Anna Mennon ve pilot Scott Poteet'in bulunduğu Falcon 9 roketi Florida'dan 10 Eylül'de fırlatıldı.

Isaacman, misyon kapsamında 12 Eylül'de insanlık tarihindeki ilk özel uzay yürüyüşünü yaptı. Daha sonra Polaris Dawn misyonu ekibi, görevini tamamlayarak 15 Eylül'de Dünya'ya döndü.

Dragon kapsülünden bir halat yardımıyla uzay boşluğuna çıkılan Isaacman ve SpaceX mühendisi Gillis, 5 günlük yolculuğun sona ermesiyle uzayda yürüyüş yapan 264 ve 265'inci kişiler olarak kayıtlara geçti.

İYİLEŞTİRMEYİ HIZLANDIRAN DİKİŞ İPİ

Çin'de araştırmacılar, biyolojik olarak parçalanabilen polimere sarılı magnezyum içeren dikiş ipinin, mekanik-elektrik doğası gereği hareket edilmesi halinde elektrik alanı üretebildiğini kaydetti.

Bu dikiş ipini yapay kas dokuları ve fareler üzerinde deneyen araştırmacılar, dikilen yaraların 10 günün ardından neredeyse tamamen iyileştiğini ifade etti. Araştırmacılar, elektrik alanı oluştuğunda dikişli alana yaklaşan hücrelerin arttığını ve böylece yaranın daha hızlı iyileştiğini belirtti.

Buna göre, araştırmacılar, elektrik yüklenen dikiş ipinin, yara onarımını yüzde 50'ye kadar hızlandırmanın yanı sıra enfeksiyon riskini azalttığını ortaya koydu.

YAPAY ZEKA PORTRESİ SATILDI

Yapay zeka teknolojisinde her geçen gün şaşırtıcı bir gelişme yaşanmaya devam ediyor. Yapay zekayla çalışan insansı robot "Ai-Da"nın ürettiği portre kasımda New York'ta açık artırmaya çıktı.

"Ai-Da"nın ürettiği, bilgisayar biliminin kurucusu olarak kabul eden ünlü İngiliz matematikçi ve kriptolog Alan Turing'in portresi 120 ile 180 bin arasında ön teklif aldı. Eser, açık artırmada 1,08 milyon dolara satıldı.